Banner

Présentation

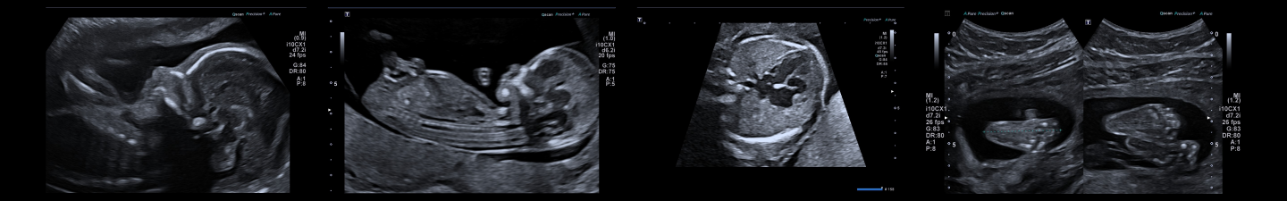
Isabelle Schmitt, sage-femme échographiste diplômée vous reçoit sur rendez-vous dans son cabinet de Metz ainsi qu'à Pont-à-Mousson (jeudi matin) pour vos échographies obstétricales.

  • Diplôme d'Etat de Sage-Femme de la Faculté de Médecine de Nancy
  • Diplôme Universitaire d'Echographie Obstéricale de la Faculté de Médecine de Lyon
  • Membre du Réseau Périnatal Lorrain
  • Accréditation pour le dépistage du risque de trisomie 21 au 1er trimestre

Informations pratiques

Adresses

  • 21 en Chaplerue, 57000 METZ
  • 4 RD 657, 54700 PONT-A-MOUSSON

Horaires du secrétariat

  • 8h - 20h du lundi au vendredi
  • 8h - 12h30 le samedi

Le cabinet

Cabinet1

Bureau médical

Cabinet2

Salle d'échographie

Cabinet3

Salle d'attente

Cabinet4

Salle d'échographie

Cabinet5

Bureau médical

Cabinet6

Salle d'attente

Cabinet7

Entrée du cabinet